该数据集用于脑中风病症目标检测任务。
项目信息
编号:Dataset-63
大小:43M
数据信息
图片数量: 总计:1842 张。训练集 1289 张, 验证集 368 张, 测试集 185 张
标注文件格式: YOLO的txt格式可以直接用于模型训练。

类别信息
类别:2类[‘出血性脑卒中’,’缺血性脑卒中’
标签(names): [‘Hemorrhagic’, ‘Ischemic’]
性能指标
模型的性能指标 mAP 、Precision 和 Recall ,分别用蓝色、绿色和红色表示。所有指标都达到了较高水平,显示出模型的综合性能非常优秀。

模型性能评估与训练过程分析
1.训练过程相关
训练和验证指标曲线

展示了训练和验证阶段的损失变化趋势(如 box_loss、cls_loss)和性能指标(如 mAP、Precision、Recall)。
可以直观展示模型的训练过程是否收敛、是否过拟合或欠拟合。
2.性能评估相关
Precision-Recall 曲线

展示了模型对所有类别的分类性能(Precision 和 Recall 之间的权衡),并提供mAP值。
评估模型整体性能的重点图表。
3.分类细节分析
混淆矩阵

混淆矩阵提供了分类任务中各类别的详细分类结果(正确分类与误分类的情况)。
作为分类细节分析,用于深入探讨分类表现和混淆问题。
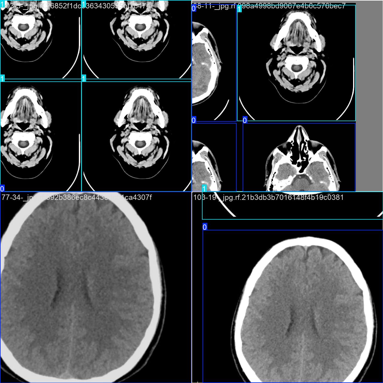
目标检测训练数据可视化
目标检测训练过程中,模型对数据的可视化结果,主要展示了多个类别目标的检测边框和类别标注情况。整体检测表现较好,但可以通过优化标注和模型训练进一步提升精度和鲁棒性。

文件目录
Tipps:完整项目文件清单如下:

声明:本站所有项目资源都可以正常运行,亲测无错!而且我们录制了演示视频,在我们注明的环境版本下,项目运行效果完全和演示视频一致。客服QQ:下载须知


评论(0)