本文提出了一种基于YOLOv8深度学习算法的医学影像肺炎自动诊断及语音提示系统,该系统能够自动分析胸部X光图像并识别三种主要类别:细菌性肺炎、病毒性肺炎和肺部健康。为了提升系统的用户体验,本文采用PyQt5开发了图形用户界面,使用户能够方便地加载单张或批量图像并实时查看检测结果。系统通过YOLOv8模型进行图像分析,能够精确检测出肺炎的种类,并通过语音提示功能实时告知用户检测结果,进一步增强了系统的实用性和临床辅助价值。
项目信息
编号:PDV-153
大小:114M
运行条件
Python开发环境:
– PyCharm的安装包:PyCharm: Python IDE for Professional Developers
– PyCharm的历史安装包:PyCharm: Python IDE for Professional Developers
– Anaconda的安装包:Anaconda | Start Coding Immediately
– Python开发版本:Python==3.9
需要安装依赖包:
– pip install PyQt5== 5.15.11
– pip install Pillow==9.5.0
– pip install opencv-python==4.10.0.84
– pip install torch==2.4.0
– pip install torchvision==0.19.0
– pip install numpy== 1.26.4
– pip install matplotlib==3.9.2
项目介绍
本文提出了一种基于YOLOv8深度学习算法的医学影像肺炎自动诊断及语音提示系统,该系统能够自动分析胸部X光图像并识别三种主要类别:细菌性肺炎、病毒性肺炎和肺部健康。为了提升系统的用户体验,本文采用PyQt5开发了图形用户界面,使用户能够方便地加载单张或批量图像并实时查看检测结果。系统通过YOLOv8模型进行图像分析,能够精确检测出肺炎的种类,并通过语音提示功能实时告知用户检测结果,进一步增强了系统的实用性和临床辅助价值。
在数据集方面,本文使用了公开的胸部X光图像数据集进行模型训练,通过数据增强、迁移学习等技术优化模型的性能,提高了其在细菌性肺炎、病毒性肺炎及健康状态分类任务中的准确性和鲁棒性。实验结果表明,该系统在检测精度、召回率和推理速度等指标上均表现出色,具有较高的临床应用潜力。
该系统的实现为肺炎的早期诊断和健康监测提供了一种智能化的解决方案,能够为医生提供有力的辅助决策支持,提升临床诊断的效率和准确性。
项目文档
Tipps:提供专业的项目文档撰写服务,覆盖技术类、科研类等多种文档需求。我们致力于帮助客户精准表达项目目标、方法和成果,提升文档的专业性和说服力。
– 点击查看:写作流程
1.撰写内容

2.撰写流程

3.撰写优势

4.适用人群

期待与您的沟通!我们致力于为您提供专业、高效的项目文档撰写服务,无论是通过QQ、邮箱,还是微信,您都能快速找到我们。专业团队随时待命,为您的需求提供最优解决方案。立即联系,开启合作新篇章!
算法流程
Tipps:深入解析项目的算法流程,逐步探索技术实现的核心逻辑。从数据加载与预处理开始,到核心算法的设计与优化,再到结果的可视化呈现,每一步都将以清晰的结构和简洁的语言展现,揭示技术背后的原理与实现思路。

代码讲解
Tipps:我们致力于为您提供全面的项目代码解析服务,深入剖析核心实现、关键逻辑及优化策略,帮助您快速理解项目运行机制。同时,针对您在使用项目中可能遇到的难点,我们提供高效的后续答疑支持,确保问题得到及时、专业的解决。
无论您是初学者还是经验丰富的开发者,我们都能为您量身定制指导方案,助您从掌握到精通。如果您有任何需求或疑问,欢迎随时与我们联系!
1.服务优势

2.联系方式

欢迎随时联系我们!我们将竭诚为您提供高效、专业的技术支持,量身定制解决方案,助您轻松应对技术挑战。
硬件环境
我们使用的是两种硬件平台配置进行系统调试和训练:
(1)外星人 Alienware M16笔记本电脑:

(2)惠普 HP暗影精灵10 台式机:

上面的硬件环境提供了足够的计算资源,能够支持大规模图像数据的训练和高效计算。GPU 的引入显著缩短了模型训练时间。
使用两种硬件平台进行调试和训练,能够更全面地验证系统的性能、适应性和稳定性。这种方法不仅提升了系统的鲁棒性和泛化能力,还能优化开发成本和效率,为实际应用场景的部署打下良好基础。
模型训练
Tipps:模型的训练、评估与推理
1.YOLOv8的基本原理
YOLOv8是一个SOTA模型,它建立在Yolo系列历史版本的基础上,并引入了新的功能和改进点,以进一步提升性能和灵活性,使其成为实现目标检测、图像分割、姿态估计等任务的最佳选择。其具体创新点包括一个新的骨干网络、一个新的Ancher-Free检测头和一个新的损失函数,可在CPU到GPU的多种硬件平台上运行。

YOLOv8是Yolo系列模型的最新王者,各种指标全面超越现有对象检测与实例分割模型,借鉴了Yolov5、Yolov6、YoloX等模型的设计优点,在全面提升改进Yolov5模型结构的基础上实现,同时保持了Yolov5工程化简洁易用的优势。
Yolov8模型网络结构图如下图所示:

2.数据集准备与训练
本研究使用了包含肺炎情况的数据集,并通过 Labelimg 标注工具对每张图像中的目标边界框(Bounding Box)及其类别进行标注。基于此数据集,采用 YOLOv8n 模型进行训练。训练完成后,对模型在验证集上的表现进行了全面的性能评估与对比分析。整个模型训练与评估流程包括以下步骤:数据集准备、模型训练、模型评估。本次标注的目标类别主要集中于肺炎情况。数据集总计包含 29126 张图像,具体分布如下:
训练集:1907 张图像,用于模型学习和优化。
验证集:545 张图像,用于评估模型在未见过数据上的表现,防止过拟合。
测试集:273 张图像,用于最终评估模型的泛化能力。
数据集分布直方图
以下柱状图展示了训练集、验证集和测试集的图像数量分布:

部分数据集图像如下图所示:

部分标注如下图所示:

这种数据分布方式保证了数据在模型训练、验证和测试阶段的均衡性,为 YOLOv8n 模型的开发与性能评估奠定了坚实基础。
图片数据的存放格式如下,在项目目录中新建datasets目录,同时将检测的图片分为训练集与验证集放入datasets目录下。

接着需要新建一个data.yaml文件,用于存储训练数据的路径及模型需要进行检测的类别。YOLOv8在进行模型训练时,会读取该文件的信息,用于进行模型的训练与验证。
data.yaml的具体内容如下:

这个文件定义了用于模型训练和验证的数据集路径,以及模型将要检测的目标类别。
数据准备完成后,通过调用train.py文件进行模型训练,epochs参数用于调整训练的轮数,batch参数用于调整训练的批次大小(根据内存大小调整,最小为1)。
CPU/GPU训练代码如下:

加载名为 yolov8n.pt 的预训练YOLOv8模型,yolov8n.pt是预先训练好的模型文件。
使用YOLO模型进行训练,主要参数说明如下:
(1)data=data_yaml_path: 指定了用于训练的数据集配置文件。
(2)epochs=150: 设定训练的轮数为150轮。
(3)batch=4: 指定了每个批次的样本数量为4。
(4)optimizer=’SGD’):SGD 优化器。
(7)name=’train_v8′: 指定了此次训练的命名标签,用于区分不同的训练实验。
3.YOLOv8模型训练结果与性能评估
在深度学习的过程中,我们通常通过观察损失函数下降的曲线来了解模型的训练情况。对于 YOLOv8 模型的训练,主要涉及三类损失:定位损失(box_loss)、分类损失(cls_loss)以及动态特征损失(dfl_loss)。这些损失的优化是提升目标检测性能的关键。
损失函数作用说明:
(1)定位损失 (box_loss):表示预测框与标定框之间的误差(GIoU),越小表示定位越准确。
(2)分类损失 (cls_loss):用于衡量锚框与对应的标定分类是否正确,越小表示分类越准确。
(3)动态特征损失 (dfl_loss):DFLLoss用于回归预测框与目标框之间的距离,并结合特征图尺度进行调整,最终提高目标检测的定位准确性。
训练和验证结果文件存储:
训练完成后,相关的训练过程和结果文件会保存在 runs/ 目录下,包括:

(1)损失曲线图(Loss Curves)
(2)性能指标曲线图(mAP、精确率、召回率)
(3)混淆矩阵(Confusion Matrix)
(4)Precision-Recall (P-R) 曲线
损失曲线(Loss Curve)和性能指标分析:

训练指标:
train/box_loss:
含义:边界框回归的损失函数值,表示预测的目标边界框与真实边界框的差异。
趋势:从图中可以看到损失值迅速下降,说明模型在训练中逐步优化了边界框的预测。
train/cls_loss:
含义:分类损失,表示预测类别和真实类别之间的差异。
趋势:该曲线也呈现下降趋势,表明模型的分类准确性在提高。
train/dfl_loss:
含义:分布聚合损失(Distribution Focal Loss),用于优化边界框的预测分布。
趋势:随着训练的进行,损失值逐渐下降,说明模型在特征学习方面越来越好。
验证指标:
val/box_loss:
含义:验证集上的边界框回归损失,与训练集的 box_loss 类似,但用于验证模型的泛化能力。
趋势:尽管有一些波动,但总体趋势是下降的,表示模型在验证集上对框的预测不断优化。
val/cls_loss:
含义:验证集上的分类损失,与训练集的 cls_loss 类似。
趋势:整体呈现下降趋势,表明模型在分类任务上的性能在验证集上也在提高。
val/dfl_loss:
含义:验证集上的分布聚合损失。
趋势:随着训练的进行,损失值逐渐减少,表示特征学习的效果不断提高。
性能指标:
metrics/precision(B):
含义:训练过程中的精确率,表示预测为目标的样本中实际为目标的比例。
趋势:随着训练的进行,精度不断提升,表明模型的预测准确度在提高。
metrics/recall(B):
含义:训练过程中的召回率,表示所有真实目标中被正确检测到的比例。
趋势:随着训练的进行,召回率逐渐提高,表明模型能够识别更多的正确样本。
metrics/mAP50(B):
含义:验证集上的 mAP@0.5,表示 IoU 阈值为 0.5 时的平均精度。
趋势:随着训练的进行,mAP值逐步提升,表明模型的整体检测能力增强。
metrics/mAP50-95(B):
含义:验证集上的 mAP@0.5-0.95,表示多个 IoU 阈值下的平均精度。
趋势:随着训练的进行,mAP50-95也呈现上升趋势,说明模型在不同阈值下的检测性能都有所提高。
总结:
这些图表展示了模型在训练和验证过程中损失逐步减少,精度、召回率和mAP等指标持续提升,表明模型性能在不断优化。
Precision-Recall(P-R)曲线分析:

曲线说明:
蓝色曲线:
代表细菌性肺炎(Pneumonia Bacteria),其mAP值为0.961。
橙色曲线:
代表病毒性肺炎(Pneumonia Virus),其mAP值为0.961。
绿色曲线:
代表健康(healthy),其mAP值为0.995。
蓝色粗线:
代表所有类别的综合mAP值,为0.972(mAP@0.5)。
总结:
模型在健康状态的检测上表现最佳,而细菌性和病毒性肺炎的检测精度与召回率相似。
混淆矩阵 (Confusion Matrix) 分析
混淆矩阵是用于评估分类模型性能的重要工具,它显示了模型在每一类别上的预测结果与实际情况的对比。

结论:
该模型在肺炎类型的分类中表现出色,绝大部分图像被正确分类,但仍存在细菌性肺炎与病毒性肺炎之间的少量误分类。
4.检测结果识别
模型训练完成后,我们可以得到一个最佳的训练结果模型best.pt文件,在runs/train/weights目录下。我们可以使用该文件进行后续的推理检测。
imgTest.py 图片检测代码如下:

加载所需库:
(1)from ultralytics import YOLO:导入YOLO模型类,用于进行目标检测。
(2)import cv2:导入OpenCV库,用于图像处理和显示。
加载模型路径和图片路径:
(1)path = ‘models/best.pt’:指定预训练模型的路径,这个模型将用于目标检测任务。
(2)img_path = “TestFiles/imagetest.jpg”:指定需要进行检测的图片文件的路径。
加载预训练模型:
(1)model = YOLO(path, task=’detect’):使用指定路径加载YOLO模型,并指定检测任务为目标检测 (detect)。
(2)通过 conf 参数设置目标检测的置信度阈值,通过 iou 参数设置非极大值抑制(NMS)的交并比(IoU)阈值。
检测图片:
(1)results = model(img_path):对指定的图片执行目标检测,results 包含检测结果。
显示检测结果:
(1)res = results[0].plot():将检测到的结果绘制在图片上。
(2)cv2.imshow(“YOLOv8 Detection”, res):使用OpenCV显示检测后的图片,窗口标题为“YOLOv8 Detection”。
(3)cv2.waitKey(0):等待用户按键关闭显示窗口
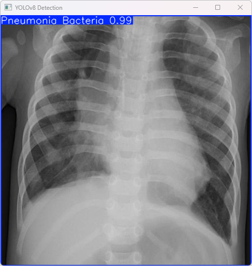
执行imgTest.py代码后,会将执行的结果直接标注在图片上,结果如下:

这段输出是基于YOLOv8模型对图片“imagetest.jpg”进行检测的结果,具体内容如下:
图像信息:
(1)处理的图像路径为:TestFiles/imagetest.jpg。
(2)图像尺寸为640×640像素。
检测结果:
(1)检测到图像属于 “Pneumonia Bacteria” 类别(细菌性肺炎)
处理速度:
(1)预处理时间: 7.0 毫秒
(2)推理时间: 4.5 毫秒
(3)后处理时间: 63.8 毫秒
总结:
模型成功识别图像中的肺炎类型为细菌性肺炎,并且推理过程高效。此系统适合快速诊断图像,具有实际应用潜力。
运行效果
– 运行 MainProgram.py

1.主要功能:
(1)可用于实际场景中的肺炎检测;
(2)支持图片、视频及摄像头进行检测,同时支持图片的批量检测;
(3)界面可实时显示目标位置、目标总数、置信度、用时等信息;
(4)支持图片或者视频的检测结果保存;
2.检测参数设置:

(1)置信度阈值:当前设置为0.25,表示检测系统只会考虑置信度高于25%的目标进行输出,置信度越高表示模型对检测结果的确信度越高。
(2)交并比阈值:当前设置为0.70,表示系统只会认为交并比(IoU)超过70%的检测框为有效结果。交并比是检测框与真实框重叠区域的比值,用于衡量两个框的相似程度,值越高表明重叠程度越高。
这两个参数通常用于目标检测系统中,调整后可以影响模型的检测精度和误检率。
语音提醒(Voice Reminder):
(1)异常语音提醒:(警告:肺部有炎症,请及时就医!)

这张图表显示了基于YOLOv8模型的目标检测系统的检测结果界面。以下是各个字段的含义解释:

用时(Time taken):
(1)这表示模型完成检测所用的时间为0.052秒。
(2)这显示了模型的实时性,检测速度非常快。
目标数目(Number of objects detected):
(1)检测到的目标数目为1,表示这是当前检测到的第1个目标。
目标选择(下拉菜单):全部:
(1)这里有一个下拉菜单,用户可以选择要查看的目标类型。
(2)在当前情况下,选择的是“全部”,意味着显示所有检测到的目标信息。
3.检测结果说明:

这张图表显示了基于YOLOv8模型的目标检测系统的检测结果界面。以下是各个字段的含义解释:
目标选择:
(1)提供选择检测目标的选项,这里显示为全部,说明当前显示的是所有检测到的目标。
结果(Result):“病毒性肺炎”,表示系统正在高亮显示检测到的“Pneumonia Virus”。
置信度(Confidence):
(1)这表示模型对检测到的目标属于“病毒性肺炎”类别的置信度为99.22%。
(2)置信度反映了模型的信心,置信度越高,模型对这个检测结果越有信心。
目标位置(Object location):
(1)xmin: 0, ymin: 0:目标的左上角的坐标(xmin, ymin),表示目标区域在图像中的位置。
(2)xmax: 511, ymax: 511:目标的右下角的坐标(xmax, ymax),表示目标区域的边界。
这些坐标表示在图像中的目标区域范围,框定了检测到的“病毒性肺炎”的位置。
这张图显示了一个检测系统的具体结果,包括检测到的目标类型、置信度以及目标在图像中的位置坐标。这类界面通常用于显示模型在图像中定位和识别到的目标,并提供相关的位置信息和置信度评分。
3.图片检测说明
(1)肺部健康

(2)病毒性肺炎

(3)细菌性肺炎

操作演示如下:
(1)点击目标下拉框后,可以选定指定目标的结果信息进行显示。
(2)点击保存按钮,会对检测结果进行保存,存储路径为:save_data目录下。
检测结果:系统识别出图片中的肺炎情况,并显示检测结果,包括总目标数、用时、目标类型、置信度、以及目标的位置坐标信息。
4.视频检测说明

点击视频按钮,打开选择需要检测的视频,就会自动显示检测结果,再次点击可以关闭视频。
点击保存按钮,会对视频检测结果进行保存,存储路径为:save_data目录下。
检测结果:系统对视频进行实时分析,检测到肺炎情况检测结果。表格显示了视频中多个检测结果的置信度和位置信息。
这个界面展示了系统对视频帧中的多目标检测能力,能够准确识别肺炎情况,并提供详细的检测结果和置信度评分。
5.摄像头检测说明

点击打开摄像头按钮,可以打开摄像头,可以实时进行检测,再次点击,可关闭摄像头。
检测结果:系统连接摄像头进行实时分析,检测到肺炎情况并显示检测结果。实时显示摄像头画面,并将检测到的行为位置标注在图像上,表格下方记录了每一帧中检测结果的详细信息。
6.保存图片与视频检测说明

点击保存按钮后,会将当前选择的图片(含批量图片)或者视频的检测结果进行保存。
检测的图片与视频结果会存储在save_data目录下。
保存的检测结果文件如下:

(1)图片保存

(2)视频保存

– 运行 train.py
1.训练参数设置

加载名为 yolov8n.pt 的预训练YOLOv8模型,yolov8n.pt是预先训练好的模型文件。
使用YOLO模型进行训练,主要参数说明如下:
(1)data=data_yaml_path: 指定了用于训练的数据集配置文件。
(2)epochs=150: 设定训练的轮数为150轮。
(3)batch=4: 指定了每个批次的样本数量为4。
(4)optimizer=’SGD’):SGD 优化器。
(7)name=’train_v8′: 指定了此次训练的命名标签,用于区分不同的训练实验。
虽然在大多数深度学习任务中,GPU通常会提供更快的训练速度。
但在某些情况下,可能由于硬件限制或其他原因,用户需要在CPU上进行训练。
温馨提示:在CPU上训练深度学习模型通常会比在GPU上慢得多,尤其是像YOLOv8这样的计算密集型模型。除非特定需要,通常建议在GPU上进行训练以节省时间。
2.训练日志结果

这张图展示了使用YOLOv8进行模型训练的详细过程和结果。
训练总时长:
(1)模型在训练了150轮后,总共耗时 0.886 小时。
(2)本次训练使用了 NVIDIA GeForce RTX 4070 Ti SUPER 显卡。
(3)表现出较高的训练效率,得益于YOLOv8模型的优化设计和高性能硬件的支持。
验证结果:
(1)mAP50: 97.2%
(2)mAP50-95: 97.2%
速度:
(1)0.1ms 预处理时间
(2)0.9ms 推理时间
(3)0.6ms 后处理时间
(4)表明模型推理效率高,适合实时检测。
结果保存:
(1)Results saved to runs\detect\train_v8:验证结果保存在 runs\detect\train_v8 目录下。
完成信息:
(1)Process finished with exit code 0:表示整个验证过程顺利完成,没有报错。
总结:
YOLOv8模型在此任务中表现出色,不仅具有很高的检测准确性,且推理速度较快,适用于实时应用。
远程部署
Tipps:购买后可有偿协助安装,确保运行成功。
– 远程工具:Todesk 、向日葵远程控制软件
– 操作系统:Windows OS
– 客服QQ:3666308803
项目文件

文件目录
Tipps:完整项目文件清单如下:

通过这些完整的项目文件,不仅可以直观了解项目的运行效果,还能轻松复现,全面展现项目的专业性与实用价值!


评论(0)