本研究提出了一种基于YOLOv8深度学习算法的医学影像肝病检测系统,旨在通过先进的图像处理与深度学习技术提高肝病的检测效率和准确性。
项目信息
编号:PDV-17
大小:165M
运行条件
Python开发环境:
– PyCharm的安装包:PyCharm: Python IDE for Professional Developers
– PyCharm的历史安装包:PyCharm: Python IDE for Professional Developers
– Anaconda的安装包:Anaconda | Start Coding Immediately
– Python开发版本:Python==3.9
需要安装依赖包:
– pip install PyQt5== 5.15.11
– pip install Pillow==9.5.0
– pip install opencv-python==4.10.0.84
– pip install torch==2.4.0
– pip install torchvision==0.19.0
– pip install numpy== 1.26.4
– pip install matplotlib==3.9.2
项目介绍
本研究提出了一种基于YOLOv8深度学习算法的医学影像肝病检测系统,旨在通过先进的图像处理与深度学习技术提高肝病的检测效率和准确性。系统采用YOLOv8作为核心算法模型,其具备快速高效的物体检测能力,能够精确定位肝脏区域,并对可能存在的肝病病灶进行标记和分类。为了提升用户体验,系统采用了PyQt5框架设计了一个直观且简洁的用户界面,使用户能够方便地进行图像的加载、处理和结果展示。该界面提供了多种功能,包括图像的实时检测、结果的可视化展示,以及诊断报告的自动生成,方便医生和用户快速获取检测结果。
在数据处理方面,本系统通过对医学图像数据集的预处理,确保了模型训练过程中的数据质量。预处理步骤包括图像的灰度化、噪声去除、增强对比度等,优化了图像特征的提取效果。系统还集成了训练代码,用户可以根据不同的需求对模型进行再训练和参数调整,进一步提高系统的适应性和灵活性。在训练过程中,系统采用了大量的医学影像数据集,涵盖了各种类型的肝病影像样本,确保模型在检测多种肝病类型时具有广泛的适用性。
实验结果表明,基于YOLOv8的肝病检测系统在多个测试数据集上均表现出了较高的准确率和鲁棒性。与传统的检测方法相比,YOLOv8不仅在检测速度上具有显著优势,同时在复杂背景下对病灶的定位和识别也更加精确。该系统能够在短时间内完成大量医学影像的自动分析和诊断,为医生提供有价值的参考信息,减少了人工分析的工作量,提升了临床诊断的效率。
本研究开发的医学影像肝病检测系统具备较高的实用价值和创新性,通过结合深度学习技术和人性化的交互界面,提供了一种有效的肝病检测工具。未来的研究工作可以进一步优化模型性能,扩展其适用范围,使其在更多医学影像检测领域中得到广泛应用。
项目文档
Tipps:可以根据您的需求进行写作,确保文档原创!
– 项目文档:写作流程

算法流程

代码讲解
Tipps:仅对train.py部分代码简要讲解。该项目可以按需有偿讲解,提供后续答疑。

项目数据
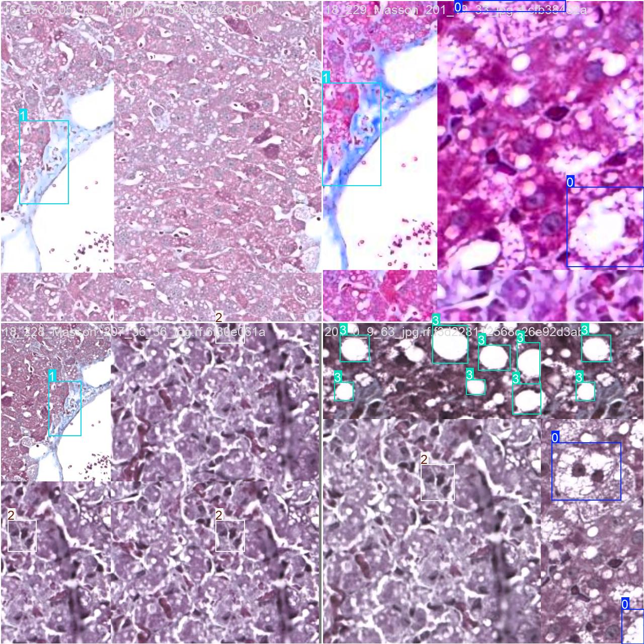
Tipps:通过搜集关于数据集为各种各样的课堂行为相关图像,并使用Labelimg标注工具对每张图片进行标注,分3个检测类别,分别是ballooning表示”细胞膨胀”、fibrosis表示”纤维化”、inflammation”炎症”、steatosis表示 “脂肪肝”。
目标检测标注工具
(1)labelimg:开源的图像标注工具,标签可用于分类和目标检测,它是用python写的,并使用Qt作为其图形界面,简单好用(虽然是英文版的)。其注释以 PASCAL VOC格式保存为XML文件,这是ImageNet使用的格式。此外,它还支持 COCO数据集格式。
(2)安装labelimg 在cmd输入以下命令 pip install labelimg -i https://pypi.tuna.tsinghua.edu.cn/simple
![]()
结束后,在cmd中输入labelimg
![]()
初识labelimg

打开后,我们自己设置一下
在View中勾选Auto Save mode

接下来我们打开需要标注的图片文件夹

并设置标注文件保存的目录(上图中的Change Save Dir)
接下来就开始标注,画框,标记目标的label,然后d切换到下一张继续标注,不断重复重复。

Labelimg的快捷键

(3)数据准备
这里建议新建一个名为data的文件夹(这个是约定俗成,不这么做也行),里面创建一个名为images的文件夹存放我们需要打标签的图片文件;再创建一个名为labels存放标注的标签文件;最后创建一个名为 classes.txt 的txt文件来存放所要标注的类别名称。
data的目录结构如下:
│─img_data
│─images 存放需要打标签的图片文件
│─labels 存放标注的标签文件
└ classes.txt 定义自己要标注的所有类别(这个文件可有可无,但是在我们定义类别比较多的时候,最好有这个创建一个这样的txt文件来存放类别)
首先在images这个文件夹放置待标注的图片,这里是一类图片,就是using phone。
生成文件如下:

“classes.txt”定义了你的 YOLO 标签所引用的类名列表。

(4)YOLO模式创建标签的样式
存放标签信息的文件的文件名为与图片名相同,内容由N行5列数据组成。
每一行代表标注的一个目标,通常包括五个数据,从左到右依次为:类别id、x_center、y_center、width、height。
其中:
–x类别id代表标注目标的类别;
–x_center和y_center代表标注框的相对中心坐标;
–xwidth和height代表标注框的相对宽和高。
注意:这里的中心点坐标、宽和高都是相对数据!!!

存放标签类别的文件的文件名为classes.txt (固定不变),用于存放创建的标签类别。
完成后可进行后续的yolo训练方面的操作。
模型训练
Tipps:模型的训练、评估与推理
1.YOLOv8的基本原理
YOLOv8是一个SOTA模型,它建立在Yolo系列历史版本的基础上,并引入了新的功能和改进点,以进一步提升性能和灵活性,使其成为实现目标检测、图像分割、姿态估计等任务的最佳选择。其具体创新点包括一个新的骨干网络、一个新的Ancher-Free检测头和一个新的损失函数,可在CPU到GPU的多种硬件平台上运行。

YOLOv8是Yolo系列模型的最新王者,各种指标全面超越现有对象检测与实例分割模型,借鉴了Yolov5、Yolov6、YoloX等模型的设计优点,在全面提升改进Yolov5模型结构的基础上实现,同时保持了Yolov5工程化简洁易用的优势。
Yolov8模型网络结构图如下图所示:

2.数据集准备与训练
本研究使用了包含各种肝病相关图像的数据集,并通过Labelimg标注工具对每张图像中的目标边框(Bounding Box)及其类别进行标注。然后主要基于YOLOv8n这种模型进行模型的训练,训练完成后对模型在验证集上的表现进行全面的性能评估及对比分析。模型训练和评估流程基本一致,包括:数据集准备、模型训练、模型评估。本次标注的目标类别为细胞膨胀、纤维化、炎症、脂肪肝,数据集中共计包含3976张图像,其中训练集占2782张,验证集占794张,测试集占400张。部分图像如下图所示:

部分标注如下图所示:

图片数据的存放格式如下,在项目目录中新建datasets目录,同时将检测的图片分为训练集与验证集放入datasets目录下。

接着需要新建一个data.yaml文件,用于存储训练数据的路径及模型需要进行检测的类别。YOLOv8在进行模型训练时,会读取该文件的信息,用于进行模型的训练与验证。
data.yaml的具体内容如下:

train: E:/LiverDiseaseDetection_v8/datasets/train/images 训练集的路径
val: E:/LiverDiseaseDetection_v8/datasets/valid/images 验证集的路径
test: E:/LiverDiseaseDetection_v8/datasets/test/images 测试集的路径
nc: 4
names: [‘ballooning’, ‘fibrosis’, ‘inflammation’, ‘steatosis’]
这个文件定义了用于模型训练和验证的数据集路径,以及模型将要检测的目标类别。
数据准备完成后,通过调用train.py文件进行模型训练,epochs参数用于调整训练的轮数,batch参数用于调整训练的批次大小(根据内存大小调整,最小为1)。
CPU/GPU训练代码如下:

加载名为 yolov8n.pt 的预训练YOLOv8模型,yolov8n.pt是预先训练好的模型文件。
使用YOLO模型进行训练,主要参数说明如下:
(1)data=data_yaml_path: 指定了用于训练的数据集配置文件。
(2)epochs=150: 设定训练的轮数为150轮。
(3)batch=4: 指定了每个批次的样本数量为4。
(4)optimizer=’SGD’):SGD 优化器。
(7)name=’train_v8′: 指定了此次训练的命名标签,用于区分不同的训练实验。
3.训练结果评估
在深度学习的过程中,我们通常通过观察损失函数下降的曲线来了解模型的训练情况。对于YOLOv8模型的训练,主要涉及三类损失:定位损失(box_loss)、分类损失(cls_loss)以及动态特征损失(dfl_loss)。训练完成后,相关的训练过程和结果文件会保存在 runs/ 目录下,具体如下:

各损失函数作用说明:
定位损失box_loss:预测框与标定框之间的误差(GIoU),越小定位得越准;
分类损失cls_loss:计算锚框与对应的标定分类是否正确,越小分类得越准;
动态特征损失(dfl_loss):DFLLoss是一种用于回归预测框与目标框之间距离的损失函数。在计算损失时,目标框需要缩放到特征图尺度,即除以相应的stride,并与预测的边界框计算Ciou Loss,同时与预测的anchors中心点到各边的距离计算回归DFLLoss。这个过程是YOLOv8训练流程中的一部分,通过计算DFLLoss可以更准确地调整预测框的位置,提高目标检测的准确性。
训练结果如下:

这张图展示了YOLOv8模型在训练和验证过程中的多个重要指标的变化趋势,具体如下:
train/box_loss:
(1)训练过程中边界框回归损失(Box Loss)的变化。
(2)随着 epoch 的增加逐渐下降,表明模型在定位物体的准确性上逐渐提高。
train/cls_loss:
(1)训练过程中类别分类损失(Classification Loss)的变化,表明模型在预测物体类别时的误差。
(2)也在逐渐下降,说明模型在物体分类上的表现不断提升。
train/dfl_loss:
(1)训练过程中分布式焦点损失(DFL Loss)的变化,用于提高边界框预测的精度。
(2)也是逐渐下降的趋势,表明模型在物体边界的细化上表现逐渐变好。
metrics/precision(B):
(1)模型的精度(Precision),表示模型预测的正样本中实际为正的比例。
(2)呈上升趋势,最终趋于稳定,说明模型在减少误报(假阳性)方面表现良好。
metrics/recall(B):
(1)模型的召回率(Recall),表示所有正样本中被正确识别的比例。
(2)也在逐渐上升,最后趋于平稳,表明模型在识别出所有目标(减少漏报)方面的表现逐步提升。
val/box_loss:
(1)验证集上边界框回归损失的变化,表示模型在验证集上预测边界框时的误差。
(2)先下降然后略有上升,可能是模型在验证集上的定位效果出现波动。
val/cls_loss:
(1)验证集上类别分类损失的变化,显示模型在验证集上分类任务的表现。
(2)也呈现先下降后略微上升的趋势,表明可能存在一些过拟合的风险。
val/dfl_loss:
(1)验证集上的分布式焦点损失变化,损失前期下降。
(2)同样先下降后略有回升,表明在边界的细化方面,验证集上的表现并非一直稳定。
metrics/mAP50(B):
(1)在阈值为0.50时的平均精度(Mean Average Precision, mAP),表示模型在物体检测任务上的整体表现。
(2)在验证集上逐渐上升,趋于稳定,说明模型在低 IoU 阈值下的表现不错。
metrics/mAP50-95(B):
(1)在不同阈值(0.50至0.95)下的平均精度,表示模型的综合检测表现。
(2)验证集上逐渐上升并趋于稳定,但整体值相对较低,说明在更严格的IoU阈值下模型的准确性还可提升。
总结:
(1)模型的训练损失和验证损失总体上呈下降趋势,说明训练是有效的。
(2)精度和召回率(尤其是 mAP50)逐步提高,验证了模型在目标检测任务中的有效性。
(3)验证集的损失曲线在后期略有回升,可能意味着轻微的过拟合情况,可以考虑使用数据增强或正则化来优化模型。

用于评估分类模型的性能,特别是在不平衡数据集上,PR曲线是评价检测任务的重要工具。该图展示了不同类别在不同阈值下的精确率和召回率的关系,能够反映模型在不同类别上的检测效果。以下是详细解释:
Precision(精确率):
(1)表示模型预测的正类中有多少是真正的正类。
(2)精确率越高,说明模型误报(False Positive)越少。
Recall(召回率):
(1)表示所有正类中被模型正确识别出来的比例。
(2)召回率越高,说明模型漏报(False Negative)越少。
不同颜色的曲线:代表不同类别的PR曲线。
(1)每条曲线代表一个类别的精确率-召回率关系,随着召回率的增加,精确率通常会下降,这是检测模型中常见的权衡关系。
(2)ballooning(气球样变)的曲线(蓝色)具有较高的精确率和召回率,说明模型在这个类别上的表现最佳,mAP(平均精度)达到 0.805。
(3)fibrosis(纤维化)和 inflammation(炎症)的曲线(橙色和绿色)精确率和召回率较低,mAP 分别为 0.424 和 0.390,说明模型在这些类别上的检测效果相对较差。
(4)steatosis(脂肪变性)的曲线(红色)表现较好,mAP 为 0.722,仅次于气球样变。
总体性能:
(1)粗蓝线表示所有类别的平均精确率-召回率关系,其 mAP@0.5 为 0.585,表明模型在所有类别上的综合性能。
总结
(1)从图中可以看出,模型在“气球样变”和“脂肪变性”类别上表现较好,而在“肝纤维化”和“肝炎症”类别上表现较差。
(2)可以考虑通过增加这些类别的训练数据或进行数据增强来进一步提升模型在这些类别上的检测性能。
4.检测结果识别
模型训练完成后,我们可以得到一个最佳的训练结果模型best.pt文件,在runs/train/weights目录下。我们可以使用该文件进行后续的推理检测。
imgTest.py 图片检测代码如下:

加载所需库:
(1)from ultralytics import YOLO:导入YOLO模型类,用于进行目标检测。
(2)import cv2:导入OpenCV库,用于图像处理和显示。
加载模型路径和图片路径:
(1)path = ‘models/best.pt’:指定预训练模型的路径,这个模型将用于目标检测任务。
(2)img_path = “TestFiles/image1.jpg”:指定需要进行检测的图片文件的路径。
加载预训练模型:
(1)model = YOLO(path, task=’detect’):使用指定路径加载YOLO模型,并指定检测任务为目标检测 (detect)。
(2)通过 conf 参数设置目标检测的置信度阈值,通过 iou 参数设置非极大值抑制(NMS)的交并比(IoU)阈值。
检测图片:
(1)results = model(img_path):对指定的图片执行目标检测,results 包含检测结果。
显示检测结果:
(1)res = results[0].plot():将检测到的结果绘制在图片上。
(2)cv2.imshow(“YOLOv8 Detection”, res):使用OpenCV显示检测后的图片,窗口标题为“YOLOv8 Detection”。
(3)cv2.waitKey(0):等待用户按键关闭显示窗口
此代码的功能是加载一个预训练的YOLOv8模型,对指定的图片进行目标检测,并将检测结果显示出来。
执行imgTest.py代码后,会将执行的结果直接标注在图片上,结果如下:

这段输出是基于YOLOv8模型对图片“image.jpg”进行检测的结果,具体内容如下:
图像信息:
(1)图像路径为 E:\LiverDisease_v8\TestFiles\imagetest.jpg。
(2)图像的尺寸为 640×640。
检测结果:
(1)模型检测到了 1 个肝细胞膨胀(ballooning)。
(2)每张图片的推理时间为 4.2毫秒。
处理速度:
(1)预处理时间:8.1毫秒。
(2)推理时间:4.2毫秒。
(3)后处理时间:132.8毫秒。
此结果表明模型在 LiverDiseaseDetection 项目中的检测效果良好,可识别特定病变特征并快速提供结果。
运行效果
– 运行 MainProgram.py

1.主要功能:
(1)可用于实时检测肝脏图片中的肝病类型;
(2)支持图片、视频及摄像头进行检测,同时支持图片的批量检测;
(3)界面可实时显示目标位置、目标总数、置信度、用时等信息;
(4)支持图片或者视频的检测结果保存。
2.检测结果说明:

这张图表显示了基于YOLOv8模型的目标检测系统的检测结果界面。以下是各个字段的含义解释:
用时(Time taken):
(1)这表示模型完成检测所用的时间为0.045秒。
(2)这显示了模型的实时性,检测速度非常快。
目标数目(Number of objects detected):
(1)检测到的目标数目为1,表示这是当前检测到的第3个目标。
目标选择(下拉菜单):全部:
(1)这里有一个下拉菜单,用户可以选择要查看的目标类型。
(2)在当前情况下,选择的是“全部”,意味着显示所有检测到的目标信息。
类型(Type):
(1)当前选中的行为类型为 “炎症”,表示系统正在高亮显示检测到的“炎症”行为。
置信度(Confidence):
(1)这表示模型对检测到的目标属于“肝细胞膨胀”类别的置信度为93.24%。
(2)置信度反映了模型的信心,置信度越高,模型对这个检测结果越有信心。
目标位置(Object location):
(1)xmin: 50, ymin: 123:目标的左上角的坐标(xmin, ymin),表示目标区域在图像中的位置。
(2)xmax: 170, ymax: 247:目标的右下角的坐标(xmax, ymax),表示目标区域的边界。
这些坐标表示在图像中的目标区域范围,框定了检测到的“肝细胞膨胀”行为的位置。
这张图展示了肝病检测系统的一次检测结果,包括检测时间、检测到的种类、各行为的置信度、目标的位置信息等。用户可以通过界面查看并分析检测结果,提升肝病检测的效率。
3.图片检测说明
(1)肝细胞膨胀

(2)肝纤维化

(3)肝炎

(4)脂肪肝

点击打开图片按钮,选择需要检测的图片,或者点击打开文件夹按钮,选择需要批量检测图片所在的文件夹。
操作演示如下:
(1)点击目标下拉框后,可以选定指定目标的结果信息进行显示。
(2)点击保存按钮,会对检测结果进行保存,存储路径为:save_data目录下。
检测结果:系统识别出图片中的肝病,并显示检测结果,包括总目标数、用时、目标类型、置信度、以及目标的位置坐标信息。
4.视频检测说明

点击视频按钮,打开选择需要检测的视频,就会自动显示检测结果,再次点击可以关闭视频。
点击保存按钮,会对视频检测结果进行保存,存储路径为:save_data目录下。
检测结果:系统对视频进行实时分析,检测到肝病并显示检测结果。表格显示了视频中多个检测结果的置信度和位置信息。
这个界面展示了系统对视频帧中的多目标检测能力,能够准确识别肝病,并提供详细的检测结果和置信度评分。
5.摄像头检测说明

点击打开摄像头按钮,可以打开摄像头,可以实时进行检测,再次点击,可关闭摄像头。
检测结果:系统连接摄像头进行实时分析,检测到肝病并显示检测结果。实时显示摄像头画面,并将检测到的行为位置标注在图像上,表格下方记录了每一帧中检测结果的详细信息。
6.保存图片与视频检测说明

点击保存按钮后,会将当前选择的图片(含批量图片)或者视频的检测结果进行保存。
检测的图片与视频结果会存储在save_data目录下。
保存的检测结果文件如下:

(1)图片保存

(2)视频保存

– 运行 train.py
1.训练参数设置

(1)data=data_yaml_path: 使用data.yaml中定义的数据集。
(2)epochs=150: 训练的轮数设置为150轮。
(3)batch=4: 每个批次的图像数量为4(批次大小)。
(4)name=’train_v8′: 训练结果将保存到以train_v8为名字的目录中。
(5)optimizer=’SGD’: 使用随机梯度下降法(SGD)作为优化器。
虽然在大多数深度学习任务中,GPU通常会提供更快的训练速度。
但在某些情况下,可能由于硬件限制或其他原因,用户需要在CPU上进行训练。
温馨提示:在CPU上训练深度学习模型通常会比在GPU上慢得多,尤其是像YOLOv8这样的计算密集型模型。除非特定需要,通常建议在GPU上进行训练以节省时间。
2.训练日志结果

这张图展示了使用YOLOv8进行模型训练的详细过程和结果。
训练总时长:
(1)总共进行了 150 个周期 的训练,花费了 1.783 小时。
mAP50 和 mAP50-95:
(1)mAP50:在 IoU 阈值为 0.5 时的平均精度,显示了较高的性能,总体为 0.585。其中,“脂肪变性”类别的 mAP50 达到 0.722。
(2)mAP50-95:在 0.5 到 0.95 的 IoU 阈值下的平均精度,表示在更严格的 IoU 阈值下的性能,总体为 0.374。“气球样变”和“脂肪变性”类别的 mAP50-95 表现较好,分别为 0.622 和 0.539。
速度:
(1)0.2ms 预处理时间
(2)1.3ms 推理时间
(3)0.8ms 后处理时间
该模型的精度较高,但在更严格的IoU阈值下仍有改进空间,可能可以通过进一步微调或增加数据来提高性能。
远程部署
Tipps:购买后可有偿协助安装,确保运行成功。
– 远程工具:Todesk 、向日葵远程控制软件
– 操作系统:Windows OS
– 客服QQ:3666308803
项目文件

文件目录
Tipps:完整项目文件清单如下:
项目目录
– 1.Code (完整代码:确保运行成功)
– 2.Result (运行结果:真实运行截图)
– 3.Demo (演示视频:真实运行录制)


评论(0)